Noa, Bulldog Francés de 4 meses y medio llega al Myramar Animal Hospital presentando cojera evidente de la extremidad anterior izquierda
Tras las radiografías pertinentes se diagnostica una Salter Harris IV distal humeral. Fractura a través de la epífisis, fisis y metáfisis humeral distal izquierda.
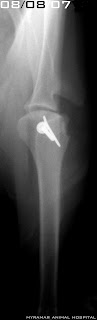
La estabilización de la fractura se realiza utilizando un tornillo de compresión transcondilar de 3.5mm + un tornillo de neutralización antirrotacional de 2.0mm.
Se presenta evolución radiográfica del caso
www.myramaranimalhospital.com
Tras las radiografías pertinentes se diagnostica una Salter Harris IV distal humeral. Fractura a través de la epífisis, fisis y metáfisis humeral distal izquierda.
La estabilización de la fractura se realiza utilizando un tornillo de compresión transcondilar de 3.5mm + un tornillo de neutralización antirrotacional de 2.0mm.
Se presenta evolución radiográfica del caso
Jesús Sánchez Nicolás (jefe del servicio de traumatología y ortopedia)
Myramar Animal Hospital
Fuengirola, Málaga. España.


















